8岁女孩得了蒙被综合征,口鼻出血!孩子盖被、穿衣都有学问……

[复制链接]

6

主题

0

回帖

0

积分

新手上路

积分
0
妈妈+ 发表于 2016-11-19 11:05:12 | 显示全部楼层 |阅读模式
前天不少爸妈的朋友圈都被“立冬不见冬”刷屏了,大家还在调侃着佛山还没成功入秋,但其实冷空气已经悄悄地来了。今天宝贝去上学,有多添一件衣裳吗?

先跟着花宝来看看佛山这几天的天气,看着它,适时给孩子正确添衣裳,让秋季感冒发烧远离宝贝们。



佛山气象台发布,今天白天我市阴天间多云,有小雨,气温15到21度,相对湿度60%到85%,偏北风3级,相对湿度60%-80%,预计这次降温降雨会持续到明天。明天气温将会进一步下降。

虽然冷空气是来了,孩子可以好好抱着暖暖的被子睡觉了,不过,(敲黑板)孩子穿衣和盖被该注意的还是要注意!
浙江海宁有一个8岁女孩口鼻出血、小便失禁、意识模糊,差点被闷死。而让小女孩出现生命危险的,竟然就是家里的一床被子。

花宝吓到差点想把被子扔掉了,究竟是怎么一回事?

事件的起因8岁的小女孩(化名小a)在家里玩耍。妈妈一直没听到小a的动静,感觉有点奇怪,下午3点多,就跑去房间里找她。一开始没找到,后来翻开了被子才找到。

然而那时候的小a口鼻出血,还有一点点小便失禁,意识也模糊了,叫上去没反应,所幸还有呼吸。十几分钟后,小a才慢慢苏醒过来,不过意识还是很模糊。



妈妈觉得不放心,赶紧把孩子送去了医院。由于妈妈以为小a只是受到了惊吓,所以医生只是配了一点药就让小a回家了。

但到了晚上8点多,小a不仅眼角有很多血丝,还吐了一小口血。妈妈赶紧又把小a送去医院。

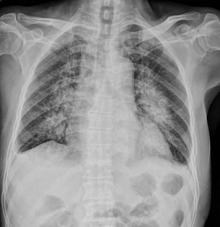
医生询问了小a被闷的整个过程后,预感小a可能是得了“蒙被综合症”,而且很可能有其他并发症,于是马上就给她拍了片。拍片的结果证实了医生的猜想:小a得了肺水肿。



蒙被综合症
蒙被综合症是指母婴同盖一床被,把婴儿睡在母亲的腋下,结果形成了高热和缺氧的环境。由于婴儿没有挣脱能力,时间一长,就引起了婴儿蒙被综合症。

当家长一觉醒来时,发现小儿大汗淋漓、衣服湿透、高热、面色苍白或土灰、呼吸不规则、皮肤发花、四肢肌肉松弛、双目凝视、抽搐、昏迷,甚至窒息而死。

一般来说,蒙被综合症多见于婴儿尤其是未满月的新生儿,而且一般都发生在寒冷季节。虽然这个案例中的小女孩已经8岁了,但还是遭遇了蒙被综合症,足以见得这种情况有多恐怖。

花宝以后睡觉再也不敢蒙着被子了,太可怕。



今天都降温了,花宝整理了一些孩子穿盖的小常识,希望能帮助宝爸宝妈们避免类似情况发生。

孩子的穿盖小常识
每回你给孩子穿少了,在长辈们一顿狂轰乱炸之下,你可能质疑自己对天气的判断,赶紧又跑回家给宝宝加了好几件衣服。

特别是在现在孩子们扎堆生病的季节,家长们又开始了新一轮的捂汗行动,认为发烧了就是要防着凉,闷在被子里才能发汗,好像宝宝汗出的越多病就能好的越快一样。

1被子该怎么盖?

可以用婴儿睡袋。如果不用睡袋,也不要让孩子睡在夫妻之间。提倡母婴分被睡眠,尽量不要母婴同盖一床被或让婴幼儿睡在母亲的腋下,这极易形成高热和缺氧的环境。



爸妈不能睡得太死,应经常看望睡眠中的婴儿,当婴儿哭闹或烦躁不安时,应及时寻找原因。如婴儿面色通红,甚至头上有汗,说明太暖,应及时移去取暖设备,或减少盖被。

千万不要蒙被入睡,更不能含奶头入睡,以防影响呼吸,这容易引起缺氧和窒息。

2孩子衣服该怎么穿?

小孩的新陈代谢比大人旺盛,通常来说体温是偏高的,穿过多衣服反而容易捂汗,对于还不会走路的宝宝和活动量少的宝宝应该适当增加衣物,但对于平常跑跑跳跳、各种活跃的宝宝应该适当减少衣物。
对于麻麻其实只要记住两点:
●一岁以下的宝宝:最多比大人多穿一件
●一岁以上的宝宝:和大人一致或是比大人少一件
当然,最好的方法还是以实测为准,实测方法花宝现在奉上。

- 实测方法 -

保持孩子在一个舒适的温度环境中的前提是了解TA的体温,有一个很简单的办法,把手伸进宝宝后衣领,在后颈和脊锥之间有一个突起的穴位叫大椎穴,左右摸一摸,以手指接触的温度为准,分以下三种情况:

●手指有湿润度,也就是有轻微出汗感或是微微发烫的感觉,说明宝宝穿多了

●手指感觉温暖舒适,说明穿的恰恰好

●手指明显感觉温度不够,或是有偏凉的感觉,就要赶紧加衣啦

这个方法的原理很简单,由于宝宝本身发育的不完善,血液循环使得温度没有办法到达处于末端的宝宝手脚处,但后颈部,特别是大椎穴处于内循环的中心点,一摸就能知道宝宝的体温。

有很多人宁愿塞块小毛巾给宝宝擦汗也不愿意给宝宝减件衣服,其实穿的太多宝宝也会难受出汗,有时候出汗多了被风一吹特别容易感冒,还有可能会长湿疹,那就得不偿失了。

3这样判断孩子冷暖需求,要不得!

● 误区一:靠孩子手温判断冷不冷

摸手的冷暖,判断孩子穿的衣服是否合适,这在冬天并不适合。因为手是长期暴露在外的,穿再多的衣服,小手也可能是冰凉的。



● 误区二:室内空调温度过高

有些家长用空调将室温调到30℃左右,而室外温度往往只有几度。如此巨大温差下,孩子进出室内外,很容易生病。

● 误区三:捂汗来退烧

秋冬季孩子容易发烧,有的家长认为发烧后多穿点,只要捂出汗来就能退烧。其实这种方法有害无益,极易造成蒙被综合症,还可能导致高热惊厥。正确的方法是将孩子衣扣稍微解开,以便充分散热,同时做到手脚保暖。
给大家推荐一个优质的公众号

教您如何备孕,陪您一起走过孕期40周,有您想了解的1-40周,每周胎宝宝的发育状况,孕早中后期应该吃什么,还有生男生女秘诀▼
做个漂亮女人,当个快乐妈妈!!! 微信号:gmssssss
你喜欢看